“Il settore dentale nell’ultimo decennio, ha vissuto un’ondata di innovazioni che ha notevolmente influenzato le pratiche quotidiane nei laboratori. Questo cambiamento è stato guidato da sviluppi nelle tecnologie digitali e nella lavorazione meccanica, con la commercializzazione di una nuova generazione di forni che permettono di ridurre drasticamente i tempi di cottura della zirconia su protesi singole o arcate complete: la...
Migliore cura del paziente oggi e domani. Dental Club Equipment, in partnership con DG Shape, ti invita ad entrare nel mondo dell’odontoiatria digitale con 3Shape TRIOS® e scoprire un’ampia gamma di opportunità. Vantaggi che vanno ben oltre quello di un metodo semplice e comodo di prendere le impronte. Avrete l’opportunità di coinvolgere ancora di più i...
Scegliere la stampante 3D che sia adatta al proprio studio dentistico o laboratorio odontotecnico è più complesso che scegliere un semplice hardware. Esistono oggi sul mercato diverse stampanti con precisioni e velocità tali da soddisfare le esigenze della maggior parte dei professionisti ma è sopratutto il progresso nel campo delle resine dentali che ha reso...
Il passaggio dell’odontoiatria da un processo di lavoro tradizionale al processo di lavoro digitale ha creato molti problemi agli operatori del settore. Avete ancora un po’ di incertezza e confusione riguardo la scelta degli strumenti più adatti per fare il fatidico passaggio al digitale? Parliamo di scanner 3D, di stampanti 3D, strumenti che mettono in difficoltà...
L’utilizzo della metodica nella pratica clinica di Davide Elsido Le stampanti 3D sono sempre più utilizzate anche in ortodonzia. La principale applicazione è la produzione di modelli di resina su cui termostampare allineatori trasparenti. Tale attività è praticata da laboratori odontotecnici specializzati: l’utilizzo di software di design 3D, la necessità di “pulire” i file e...
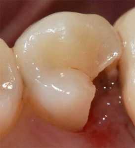
Analisi di proprietà meccaniche, biocompatibilità e bioattività di Figini Lara Il trattamento delle lesioni cariose profonde può diventare talvolta indaginoso soprattutto quando per rimuovere completamente la carie si crea un’esposizione pulpare che può ridurre la probabilità di sopravvivenza della polpa stessa. Un materiale di protezione della polpa ideale in questi casi dovrebbe essere altamente...
Il gruppo W&H, azienda familiare con sede a Bürmoos, Austria, è uno dei produttori leader nel mondo di strumenti e apparecchiature di trasmissione per l’odontoiatria. Fondata nel 1890 dagli ingegneri di precisione Weber e Hampel, l’azienda viene acquisita dalla famiglia Malata nel 1958. Soluzioni innovative di prodotto e service, forte focalizzazione su ricerca e sviluppo,...
Alla ricerca di offrire sempre il meglio ai nostri clienti siamo stati a Milano alla fiera IPACK-IMA e MEAT-TECH 2018 per i settori del Packaging e del Processing. Dal 29 maggio e fino all’1 giugno, esperti del settore e pubblico hanno potuto vedere le più recenti innovazioni nell’ambito del Packaging e del Processing....
Siamo presenti all’ Expodental Meeting di Rimini per cogliere nuove opportunità di presentarvi i prodotti più innovativi con un giusto rapporto qualità-prezzo, per incontrare ed accompagnare i clienti, per consolidare i rapporti con i nostri partner. Il nostro impegno giorno dopo giorno
Dental Club è gold partner di Bioteck, azienda italiana all’avanguardia nella produzione di sostituti ossei di origine eterologa impiegati in settori specifici della medicina rigenerativa quali Odontoiatria, Ortopedia e Neurochirurgia. Bioteck applica processi biotecnologici all’avanguardia per ottenere da tessuti animali soluzioni avanzate per la chirurgia rigenerativa. Grazie a questi processi alcune importanti caratteristiche biologiche e...
La redazione di Dental Club era presente all’evento Seo & Love 2018 a Verona, per un’interessante full immersion nel mondo della comunicazione. Stiamo studiando per poter comunicare al meglio con voi. Chi non conosce Salvatore Aranzulla; alzi la mano! E’ il più conosciuto divulgatore informatico italiano ed è il fondatore di Aranzulla.it, sito leader...
NEWSLETTER
Iscriviti alla newsletter DentalClub e ricevi tutti gli aggiornamenti su prodotti, promozioni e offerte del nostro eCommerce, eventi formativi e novità.
DENTAL CLUB
Questo sito è destinato esclusivamente a operatori professionali e riporta dati, prodotti e beni sensibili per la salute e la sicurezza del paziente. Pertanto, per visitare il sito, dichiaro di essere un operatore sanitario.
Sei un operatore sanitario?
Gestisci Consenso
Per fornire le migliori esperienze, utilizziamo tecnologie come i cookie per memorizzare e/o accedere alle informazioni del dispositivo. Il consenso a queste tecnologie ci permetterà di elaborare dati come il comportamento di navigazione o ID unici su questo sito. Non acconsentire o ritirare il consenso può influire negativamente su alcune caratteristiche e funzioni.
Funzionale
Sempre attivo
L'archiviazione tecnica o l'accesso sono strettamente necessari al fine legittimo di consentire l'uso di un servizio specifico esplicitamente richiesto dall'abbonato o dall'utente, o al solo scopo di effettuare la trasmissione di una comunicazione su una rete di comunicazione elettronica.
Preferenze
L'archiviazione tecnica o l'accesso sono necessari per lo scopo legittimo di memorizzare le preferenze che non sono richieste dall'abbonato o dall'utente.
Statistiche
L'archiviazione tecnica o l'accesso che viene utilizzato esclusivamente per scopi statistici.L'archiviazione tecnica o l'accesso che viene utilizzato esclusivamente per scopi statistici anonimi. Senza un mandato di comparizione, una conformità volontaria da parte del vostro Fornitore di Servizi Internet, o ulteriori registrazioni da parte di terzi, le informazioni memorizzate o recuperate per questo scopo da sole non possono di solito essere utilizzate per l'identificazione.
Marketing
L'archiviazione tecnica o l'accesso sono necessari per creare profili di utenti per inviare pubblicità, o per tracciare l'utente su un sito web o su diversi siti web per scopi di marketing simili.